Hoy os traemos el antes y el después de un tratamiento con coronas de zirconio que realizamos hace poco en nuestra clínica dental.
Una de nuestra pacientes vino para mejorar el aspecto de su sonrisa, porque notaba que tenía demasiadas tonalidades diferentes en sus dientes. Así que, después de analizar su caso, nos pusimos manos a la obra para colocarle coronas de zirconio en la arcada superior, cambiando el frente anterior y el sector posterior.
¿Qué son las coronas de zirconio?
Una corona dental es una especie de funda que se coloca sobre el diente o sobre un implante dental, en caso de que el paciente se haya sometido previamente a este procedimiento.
Una de sus principales características, es que reemplaza a la perfección a un diente natural tanto por su acabado estético, como por su resistencia y funcionalidad.
Normalmente, el dentista recomienda el uso de coronas dentales en caso de que el paciente haya sufrido la pérdida de un diente, tenga un gran desgaste en alguna de sus piezas dentales o quiera cambiar alguna cuestión estética (la forma o el color de su dentadura, por ejemplo).
Tipos de coronas dentales: de coronas metálicas a coronas de zirconio
Existen diferentes tipos de coronas dentales, fabricadas en distintos materiales, que se recomendarán según las necesidades de cada paciente: las coronas de metal y porcelana, las coronas de porcelana y las coronas de zirconio.
Coronas de metal y porcelana
En este tipo de coronas un capuchón de metal cubre el diente natural o el implante del paciente en su totalidad. La parte metálica se recubre posteriormente con una corona de porcelana para conseguir el aspecto de un diente natural. Se recomiendan, sobre todo, para sustituir dientes molares por su gran resistencia.
Coronas de porcelana
Al estar fabricadas exclusivamente en porcelana, estas coronas consiguen adaptarse perfectamente al tono de los demás dientes del paciente. Al ser un material menos fuerte y resistente, estas fundas se utilizan sobre todo en procedimientos puramente estéticos por la gran naturalidad de su acabado.
Coronas de zirconio
Este tipo de coronas dentales son las más estéticas y funcionales. Su color blanco ofrece un resultado muy natural y, además, es un material de gran resistencia que permite masticar al paciente con total normalidad y con el que es posible obtener el tono, la forma y translucidez de un diente natural.
Al no ser necesario el uso de metal para conseguir la solidez de una pieza dental, las coronas de zirconio aportan beneficios como la naturalidad (no se nota en absoluto que se trata de una corona), el poco desgaste (pueden durar años sin variar de tonalidad y sin romperse) y la total compatibilidad con el organismo que garantizará que el paciente no presente alergias ni rechazo.
Coronas de zirconio: antes y después
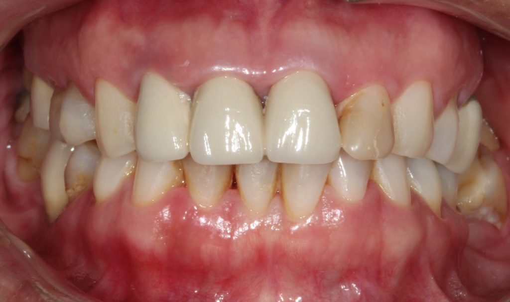
En el caso de nuestra paciente, elegimos las coronas de zirconio para mejorar el aspecto de su sonrisa y conseguir una tonalidad más uniforme en los dientes de su arcada superior. Te dejamos a continuación con las imágenes del antes, el durante y el después del procedimiento para que juzgues con tus propios ojos el resultado:
ANTES

DURANTE

DESPUÉS

¿Te ha gustado el resultado y quieres más información sobre nuestros procedimientos? Puedes ponerte en contacto con nosotros pinchando aquí o llamarnos al 91 593 39 66. ¡Estaremos encantados de ayudarte a mejorar el aspecto de tu sonrisa!




